Descrizione in bibliografia del Talar Beak sintomatico nella coalizione talocalcaneale.
La coalizione tarsale è un’unione ossea, cartilaginea o fibrosa anormale tra due o più ossa tarsali. Le coalizioni talocalcaneali e calcaneonavicolari sono le forme più comuni di coalizione tarsale, che rappresentano almeno il 90% di tutti i casi. La conferma radiografica della coalizione talocalcaneale è più difficile che per la fusione in altre zone, sebbene diversi segni radiografici secondari possano indirettamente suggerire la diagnosi.
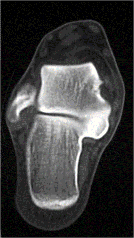
La tomografia computerizzata (TC) e l’imaging a risonanza magnetica (RMN) sono fondamentali per la valutazione delle coalizioni tarsali, perché consentono la differenziazione delle coalizioni ossee da quelle non ossee e perché descrivono l’entità del coinvolgimento articolare nonché i cambiamenti degenerativi secondari, caratteristiche di vitale importanza nella pianificazione dell’intervento chirurgico.
Un articolo scientifico di Selahattin Ozyurek, Ferhat Guler, Adil Turan, Ozkan Kose, presenta un caso di un ragazzo di 16 anni che lamentava dolore alla caviglia, nella zona anteriore da circa 6 mesi. Il dolore peggiorava con l’attività fisica prolungata, in particolare dopo la corsa e il salto. Non c’era storia di traumi o lesioni alla caviglia precedenti. Il dolore peggiorava con la dorsiflessione (movimento in cui il dorso del piede si avvicina alla tibia) della caviglia e il paziente non riusciva ad accovacciarsi. L’esame neurovascolare era negativo, nessuna anomalia. I movimenti dell’articolazione sub-talari erano limitati.
A livello dell’articolazione talo navicolare vi era una massa solida palpabile; all’esame obiettivo il paziente presentava piede piatto.
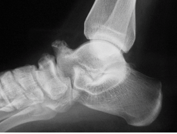
Dalla Rx il piede destro mostrava un segno C e un prominente becco talare coerente con la coalizione tarsale. Inizialmente il paziente è stato trattato con riduzione dell’attività, riposo e analgesici per 6 settimane. Tuttavia, non ha risposto positivamente al trattamento conservativo. La risonanza magnetica è stata eseguita per delineare altre possibili cause di dolore persistente alla caviglia. In questo caso, si è deciso di procedere per via chirurgica, il talar beak e la borsa sono stati rimossi con chirurgia a cielo aperto.

Fig. 1 Le semplici radiografie del piede destro mostravano un segno C continuo e un prominente becco talare

Fig. 2 La TC ha dimostrato la coalizione talo-calcaneare della sfaccettatura subtalare media.

Fig. 3 La risonanza magnetica sagittale T12 della caviglia ha dimostrato edema del midollo osseo all’interno del collo dell’astragalo


